This website uses cookies to ensure you get the best experience on our website.
- Table of Contents
2 Citations 1 Q&As
10 Citations
7 Citations
Facts about Prominin-1.
During early retinal development functions as a key regulator of disc morphogenesis. Involved in regulation of MAPK and Akt signaling pathways.
| Human | |
|---|---|
| Gene Name: | PROM1 |
| Uniprot: | O43490 |
| Entrez: | 8842 |

| Belongs to: |
|---|
| prominin family |

AC133 Stargardt disease 4 (autosomal dominant); AC133; CD133 retinal 2; CD133; PROM1; prominin (mouse)-like 1; Prominin 1; PROML1
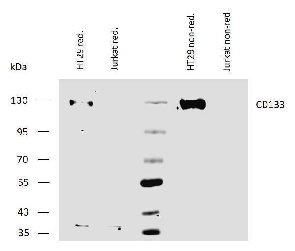
Mass (kDA):
97.202 kDA

| Human | |
|---|---|
| Location: | 4p15.32 |
| Sequence: | 4; NC_000004.12 (15968226..16084059, complement) |
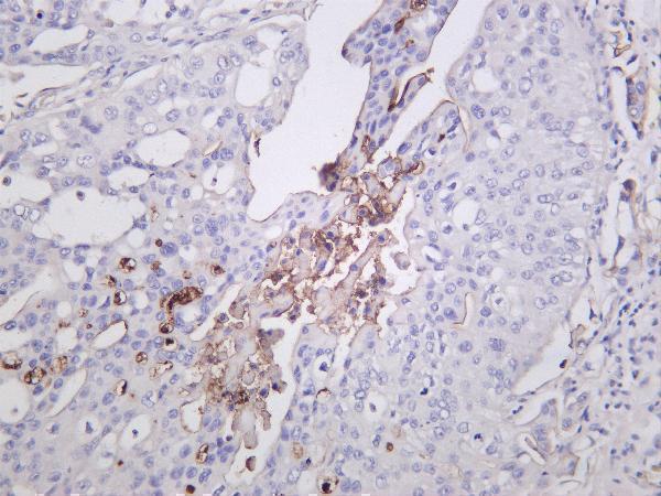
Isoform 1 is selectively expressed on CD34 hematopoietic stem and progenitor cells in adult and fetal bone marrow, fetal liver, cord blood and adult peripheral blood. Isoform 1 is not detected on other blood cells. Isoform 1 is also expressed in a number of non-lymphoid tissues including retina, pancreas, placenta, kidney, liver, lung, brain and heart. Found in saliva within small membrane particles. Isoform 2 is predominantly expressed in fetal liver, skeletal muscle, kidney, and heart as well as adult pancreas, kidney, liver, lung, and placenta. Isoform 2 is highly expressed in fetal liver, low in bone marrow, and barely detectable in peripheral blood. Isoform 2 is expressed on hematopoietic stem cells and in epidermal basal cells (at protein level). Expressed in adult retina by rod and cone photoreceptor cells (at protein level).
Apical cell membrane; Multi-pass membrane protein. Cell projection, microvillus membrane; Multi-pass membrane protein. Cell projection, cilium, photoreceptor outer segment. Endoplasmic reticulum. Endoplasmic reticulum-Golgi intermediate compartment. Found in extracellular membrane particles in various body fluids such as cerebrospinal fluid, saliva, seminal fluid and urine.






PMID: 9389721 by Miraglia S., et al. A novel five-transmembrane hematopoietic stem cell antigen: isolation, characterization, and molecular cloning.
PMID: 12042327 by Yu Y., et al. AC133-2, a novel isoform of human AC133 stem cell antigen.
*Showing only the more recent 20. More publications can be found for each product on its corresponding product page