This website uses cookies to ensure you get the best experience on our website.
- Table of Contents

21 Citations 16 Q&As
39 Citations 17 Q&As
2 Citations 7 Q&As
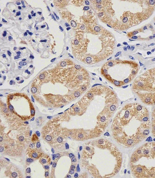
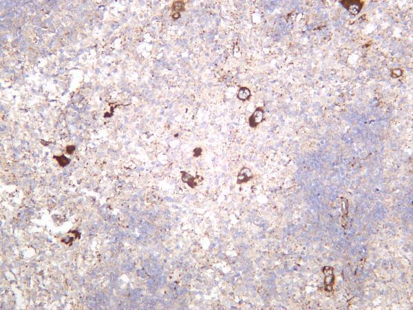
Facts about von Willebrand factor.
.
| Human | |
|---|---|
| Gene Name: | VWF |
| Uniprot: | P04275 |
| Entrez: | 7450 |

| Belongs to: |
|---|
| No superfamily |

coagulation factor VIII VWF; F8; F8VWF; von Willebrand factor; VWD; vWF
Mass (kDA):
309.265 kDA

| Human | |
|---|---|
| Location: | 12p13.31 |
| Sequence: | 12; NC_000012.12 (5948877..6124670, complement) |
Plasma.
Secreted. Secreted, extracellular space, extracellular matrix. Localized to storage granules.





PMID: 3489923 by Bonthron D., et al. Nucleotide sequence of pre-pro-von Willebrand factor cDNA.
PMID: 2584182 by Mancuso D.J., et al. Structure of the gene for human von Willebrand factor.
*Showing only the more recent 20. More publications can be found for each product on its corresponding product page