This website uses cookies to ensure you get the best experience on our website.
- Table of Contents
1 Citations 6 Q&As
1 Citations 5 Q&As
1 Citations 16 Q&As
3 Citations
Facts about T-lymphocyte activation antigen CD80.
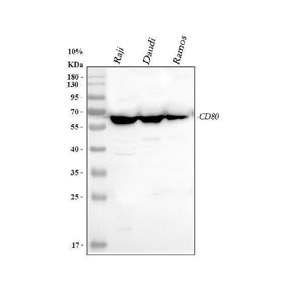
.
| Human | |
|---|---|
| Gene Name: | CD80 |
| Uniprot: | P33681 |
| Entrez: | 941 |

| Belongs to: |
|---|
| No superfamily |

Activation B7-1 antigen; B7; B71; B7-1; BB1; CD28LG1; CD28LGB7-1 antigen); CD80 antigen; CD80 molecule; CD80; costimulatory factor CD80; costimulatory molecule variant IgV-CD80; CTLA-4 counter-receptor B7.1; T-lymphocyte activation antigen CD80
Mass (kDA):
33.048 kDA

| Human | |
|---|---|
| Location: | 3q13.33 |
| Sequence: | 3; NC_000003.12 (119524293..119559614, complement) |
Membrane; Single-pass type I membrane protein.






PMID: 2794510 by Freeman G.J., et al. B7, a new member of the Ig superfamily with unique expression on activated and neoplastic B cells.
PMID: 1377173 by Selvakumar A., et al. Genomic organization and chromosomal location of the human gene encoding the B-lymphocyte activation antigen B7.
*More publications can be found for each product on its corresponding product page