This website uses cookies to ensure you get the best experience on our website.
- Table of Contents
65 Citations 6 Q&As
1 Citations 10 Q&As
5 Citations 10 Q&As
5 Citations 8 Q&As
5 Citations
2 Citations 15 Q&As
10 Citations 15 Q&As
1 Citations 16 Q&As
2 Citations
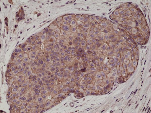
Facts about Cadherin-1.
CDH1 is involved in mechanisms regulating cell-cell adhesions, mobility and proliferation of epithelial cells (PubMed:11976333). Has a powerful invasive suppressor role.
| Human | |
|---|---|
| Gene Name: | CDH1 |
| Uniprot: | P12830 |
| Entrez: | 999 |

| Belongs to: |
|---|
| No superfamily |

Arc-1; CAD1; cadherin 1, E-cadherin (epithelial); cadherin 1, type 1, E-cadherin (epithelial); Cadherin-1; calcium-dependent adhesion protein, epithelial; CAM 120/80; CD324 antigen; CD324; CDH1; CDHE; cell-CAM 120/80; Cell-CAM120/80; ECAD; ECadherin; E-Cadherin; Epithelial cadherin; LCAM; L-CAM; UVOE-Cadherin; Uvomorulin
Mass (kDA):
97.456 kDA

| Human | |
|---|---|
| Location: | 16q22.1 |
| Sequence: | 16; NC_000016.10 (68737292..68835537) |
Non-neural epithelial tissues.
Cell junction, adherens junction. Cell membrane; Single-pass type I membrane protein. Endosome. Golgi apparatus, trans-Golgi network. Colocalizes with DLGAP5 at sites of cell-cell contact in intestinal epithelial cells. Anchored to actin microfilaments through association with alpha-, beta- and gamma-catenin. Sequential proteolysis induced by apoptosis or calcium influx, results in translocation from sites of cell-cell contact to the cytoplasm. Colocalizes with RAB11A endosomes during its transport from the Golgi apparatus to the plasma membrane.





PMID: 8459805 by Bussemakers M.J.G., et al. Molecular cloning and characterization of the human E-cadherin cDNA.
PMID: 8127895 by Oda T., et al. E-cadherin gene mutations in human gastric carcinoma cell lines.
*Showing only the more recent 20. More publications can be found for each product on its corresponding product page