This website uses cookies to ensure you get the best experience on our website.
- Table of Contents
4 Citations 4 Q&As
1 Citations 5 Q&As
3 Citations 16 Q&As
Facts about Proto-oncogene tyrosine-protein kinase Src.
SRC appears to be among the principal kinases activated following engagement of receptors and plays a role in the activation of other protein tyrosine kinase (PTK) families. Receptor clustering or dimerization leads to recruitment of SRC to the receptor complexes in which it phosphorylates the tyrosine residues within the receptor cytoplasmic domains.
| Human | |
|---|---|
| Gene Name: | SRC |
| Uniprot: | P12931 |
| Entrez: | 6714 |

| Belongs to: |
|---|
| protein kinase superfamily |

ASV; c-Src; EC 2.7.10; EC 2.7.10.2; pp60c-src; Rous sarcoma; RSVgp4; Src; tyrosine kinase pp60c-src; tyrosine-protein kinase SRC-1; v-src avian sarcoma (Schmidt-Ruppin A-2) viral oncogene homolog; v-src sarcoma (Schmidt-Ruppin A-2) viral oncogene homolog (avian)
Mass (kDA):
59.835 kDA

| Human | |
|---|---|
| Location: | 20q11.23 |
| Sequence: | 20; NC_000020.11 (37344685..37406050) |
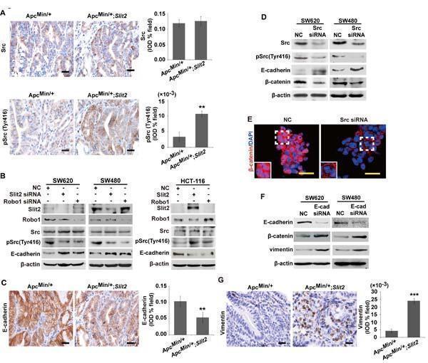
Expressed ubiquitously. Platelets, neurons and osteoclasts express 5-fold to 200-fold higher levels than most other tissues.
Cell membrane; Lipid-anchor. Mitochondrion inner membrane. Nucleus. Cytoplasm, cytoskeleton. Cytoplasm, perinuclear region. Cell junction, focal adhesion. Localizes to focal adhesion sites following integrin engagement (PubMed:22801373). Localization to focal adhesion sites requires myristoylation and the SH3 domain (PubMed:7525268). Colocalizes with PDLIM4 at the perinuclear region, but not at focal adhesions (PubMed:19307596).




PMID: 3299057 by Tanaka A., et al. DNA sequence encoding the amino-terminal region of the human c-src protein: implications of sequence divergence among src-type kinase oncogenes.
PMID: 2582238 by Anderson S.K., et al. Human cellular src gene: nucleotide sequence and derived amino acid sequence of the region coding for the carboxy-terminal two-thirds of pp60c-src.
*More publications can be found for each product on its corresponding product page